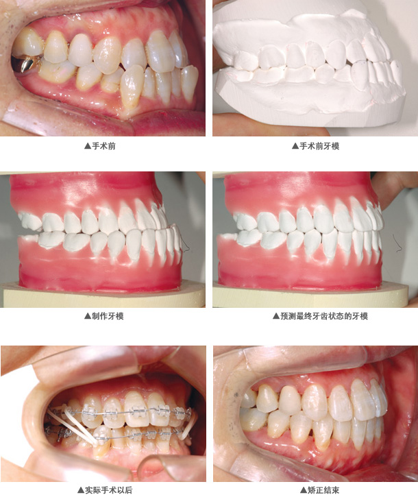
龅牙并不是像我们在影视剧中所见的那样爆笑。现实生活中,人们对待龅牙患者的态度是嫌弃的。这给龅牙患者造成了不小的心里负担。所以龅牙就应该及时矫正。那么,做龅牙矫正需要多少钱?下面就请贝臣齿科医师带我们一起去了解一下吧。>>>点击免费咨询,或者拨打24小时牙齿健康热线0591-88681777咨询,贝臣齿科为您解答!

关于龅牙矫正价格问题,它会与很多因素影响有关,所以是没有一个固定准确的数目,那么,做龅牙矫正需要多少钱?下面请医师来简单介绍一下:
一、与就诊的医院有关:一般与医院和品牌口腔医院做龅牙矫正的价格都比较适中的。
二、与所选医师有关:每个医生的等级、度等不同,从而做手术的价格也会不同,那么做龅牙矫正需要多少钱也会不同。
三、与所处的地区有关:不同地区做龅牙矫正要多少钱肯定是不同的,经济较为发达的地方,做龅牙矫正的价格就会高一些,而有些地区做龅牙矫正的价格,就普遍比较便宜。>>>文字看累了?点击直接咨询医师吧!
四、与个人情况有关:龅牙矫正多少钱这方面还要看每个人的情况不同来决定,因为每个人牙齿的畸形程度,以及选择的治疗方法会影响到牙齿的价格方面。所以价格我们不能一概而论。
五、与使用的牙齿矫正器材料有关:用不锈钢的牙齿矫正器,那么矫正牙齿的价格就比较便宜了。如果对美观性要求较高的,可以选用陶瓷牙齿矫正器,那样的正畸价格,起码要翻一倍的价格。>>> 还有不明白的,点击免费咨询,或者拨打24小时贝臣美牙热线0591-88681777咨询,贝臣齿科为您解答!
在线咨询(向医生医生免费咨询)名医在线近距离