对于龅牙,相信大家都有一定的认识了。这种难看的畸形牙,剥夺了我们很多的权力和幸福。为了防止“丑陋”龅牙的出现,不少朋友都在咨询“如何预防龅牙”。接下来就让贝臣齿科医师给我们具体介绍一下吧。>>>点击免费咨询,或者拨打24小时牙齿健康热线0591-88681777咨询,贝臣齿科为您解答!

龅牙是一种常见的牙齿生长畸形症状。龅牙患者通常表现为:在自然闭口的状态下,下唇下方与颏部之间存在明显软组织隆起。另外,龅牙患者在双唇自然闭拢时,下唇与上唇不仅无法完全贴合,还可能出现牙齿过于突出、外露的表现!龅牙的存在严重的威胁到患者的口腔健康及外观形象,因此,及早矫正及预防龅牙,可改善龅牙危害的出现!日常生活中预防龅牙,可从以下几点进行:
1、处于哺乳阶段的妈妈,需注重宝宝喂奶姿势的正确性。
2、避免给宝宝使用安抚奶嘴。喂奶时,避免让宝宝平躺或是奶瓶垂直于面部。
3、1岁半-2岁的宝宝,需停止使用奶瓶。
4、牙齿发育阶段的小儿,需及早改正不良习惯。比如:咬手指、抵牙、舔牙、吮唇、吐舌等。>>>文字看累了?点击直接咨询医师吧!
5、坚果、螃蟹、瓜子、排骨等质地较硬或有外壳的食物需少摄入。
6、及时治疗扁桃体肿大、腺样体肥大等疾病。
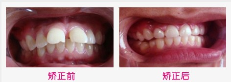
牙齿正畸选“德国四维隐形矫正”
隐形美观,自然舒适,无异物感,不影响日常工作和生活,德国四维隐形矫正,是现代口腔医学、计算机三维诊断、个性化设计及数字化成型的结合,实现牙齿矫正与脸部塑形的结合,让牙齿“悄然”变美。>>> 还有不明白的,点击免费咨询,或者拨打24小时贝臣美牙热线0591-88681777咨询,贝臣齿科为您解答!
在线咨询(向医生医生免费咨询)名医在线近距离