龅牙是我们日常生活中经常见到的一种畸形牙齿的情况,龅牙不仅会影响到孩子的心理,还会给他们的口腔带来种种威胁。下面就是贝臣齿科医生给我们具体介绍的儿童龅牙的危害。>>>点击免费咨询,或者拨打24小时牙齿健康热线0591-88681777咨询,贝臣齿科医生为您解答!

医生称,儿童龅牙不治危害多多,主要有以下几点:
1、影响儿童的颅颌面发育:在儿童生长发育过程中,由于龅牙将影响颌面软硬组织的正常发育。如前牙反颌不及时治疗则下牙弓限制了前颌骨的发育,而下颌没有上下牙弓的协调关系而过度向前发育,这样形成颜面中1/3的凹陷和下颌前突畸形,随着错颌畸形的严重,颜面呈现新月状面型。
2、影响儿童的口腔健康:龅牙由于不易自洁而好发龋病及牙龈牙周炎症,同时常因牙齿错位而造成牙周损害。
3、影响儿童的口腔功能:严重的龅牙可以影响口腔正常功能,如前牙开颌造成发音的异常;严重下颌后缩则影响儿童的正常呼吸。>>>文字看累了?点击直接咨询医生吧!
4、影响儿童的容貌外观:龅牙等错颌畸形可影响容貌外观,可呈现开唇露齿、双颌前突、上下巴或短下巴等畸形。
5、龅牙对身体的危害:龅牙不但对牙颌颅面的局部造成危害,并且对全身也可造成危害,如因咀嚼功能降低引起消化不良及胃肠疾病,此外,由于颜面的畸形对于儿童可造成严重的心理和精神障碍。
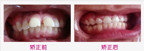
牙齿正畸“德国四维隐形矫正”
隐形美观,自然舒适,无异物感,不影响日常工作和生活,德国四维隐形矫正,是现代口腔医学、计算机三维诊断、个性化设计及数字化成型的完美结合,是欧洲齿科材料的巅峰之作,实现牙齿矫正与脸部塑形的完美结合,让牙齿“悄然”变美。>>> 还有不明白的,点击免费咨询,或者拨打24小时贝臣美牙热线0591-88681777咨询,贝臣齿科医生为您解答!
在线咨询(向医生医生免费咨询)名医在线近距离