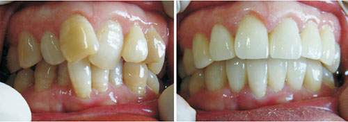
周星驰电影里的“龅牙妹”、黄飞鸿里面的“牙擦苏”都给人们留下了深刻的印象,但是在大家心里这些都是丑角角色,在今天这个看脸的时代,要是有一副龅牙,心里会自卑、不敢与人打交道,对社交、工作都会产生影响,家住福州的林美一直为自己有龅牙而感到自卑,每次看到都是一张愁容的脸。她来到贝臣齿科对医生说,怎么样才能让她快速摆脱“龅牙妹”的称呼,贝臣齿科医师为她介绍了几种方案,较终林美接受了德国四维隐形矫正方案!摆脱“龅牙妹”称呼!
点击免费咨询,或者拨打24小时牙齿健康热线0591-88681777咨询,贝臣齿科为您解答!
福州贝臣齿科:多种矫正 定制您的专属美牙
推荐阅读:做龅牙矫正需要多少钱
(慢性矫正)美国MBT 滑动直丝弓矫正
和传统“铁齿钢牙”般的正畸方式不同,美国MBT 滑动直丝弓,精致小巧,备受人们青睐。
治疗时间:1-2年 适应人群:成人 、青少年

优势:
外形美观:采用美国3M公司原装进口矫正系统,隐形美观。
疗程短:缩短治疗时间。
有效:舒适、柔和、伤害小。
(隐形矫正)德国四维隐形矫正
德国四维隐形矫正是目前较好的牙齿矫正,让您摆脱传统矫正中“铁齿钢牙”的形象。
直接点击进入了解德国四维隐形矫正
治疗时间:1-2年 适应人群:成人 、青少年
项目优势
品质:口腔医疗设备、保障、标准牙医服务。

美观:透明轻薄隐形。
方便:自行摘戴,不影响社交。
舒适:轻松舒适,无异物感。
清洁:方便取摘,易于清洁。
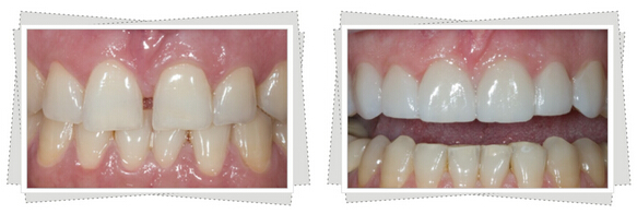
德国3D超薄瓷贴面
德国3D超薄瓷贴面,精致小巧,较薄,受人们青睐。
治疗时间:5-7天 适应人群:成人

项目优势
不磨牙:颠覆传统美牙工艺,无需磨牙杜绝疼痛。
高效率:两次就诊,共两小时,快速美牙靓齿。
更逼真:采用新科技生物材料,颜色逼真、形态自然。
更舒适:薄贴面仅0.2mm,使用舒适自然、无异物感。
更耐用:无毒无害科技材料。
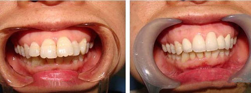
德国美容冠矫正
德国美容冠打破了长期以来矫正只能靠传统矫治和烤瓷牙矫治的常规,具有美牙不拔牙、、时间短、坚固耐用、牙龈不出现黑线等优点。更强调“纯自然”理念,符合东方人的审美观点。
文字看累了?直接点击在线咨询医师,详细了解更多
治疗时间:5-7天 适应人群:成人

项目优势
美观大方:3D数码定位系统,医师定制美齿方案,成型后牙齿美观大方
色泽逼真:采用德国VITA比色,成型后的牙齿达到色调统一。
不拔牙、轻松:采用Wand,整个治疗过程舒适轻松。
更坚固:科技粘贴,持久不脱落,坚固耐用。
快速:仅需7天解决各类难看牙齿。
在贝臣,看牙有保障
贝臣齿科经过多年的发展,引进西诺德、普兰梅卡等全套牙科系统、器械与消毒系统、进口麻醉系统等,引进众多齿科材料,齿科配套科学严谨只为品质。标准层流净化无菌诊疗室、麻醉呼吸系统,给看牙者一个的环境!
还有不明白的,点击免费咨询,或者拨打24小时贝臣美牙热线0591-88681777咨询,贝臣齿科为您解答!
在线咨询(向医生医生免费咨询)名医在线近距离