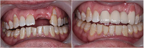
种植牙被 国内誉为“人类的第三副牙齿”,是牙齿缺失患者的选择,可是有的患者到医院进行检查时,去发现不能做。这是为什么呢?贝臣齿科医院医生介绍,长期的牙齿缺失牙槽骨骨量不足,因此不能进行直接种植,但是我们也不能放弃希望,现在可以通过种植牙植骨手术来修复,补充牙槽骨的骨量。
点击免费咨询,或者拨打24小时牙齿健康热线0591-88681777咨询,贝臣齿科医生为您解答!

种植牙植骨是怎么回事?
贝臣齿科医生介绍,种植牙好比种树与盖楼,想种树,想盖楼,都必须要有土,而且是质量不错的土,种牙也是一样,需要足够的骨头。
牙齿缺失后,牙槽骨就开始了一种不可逆的吸收萎缩,等到想种植牙的时候可能就已经不够用了。这时候就需要再放上一些骨头,可能来自人工材料,可能来自嘴里其他部位,可能来自身体的其他部位,要根据不同的情况来选择。
医生提醒:种植牙植骨对于求美者来说就意味着费用增高,时间延长至少3个月,风险增大。但总体来说还是一个常规的可靠的小手术。不管怎么样,牙齿缺失一定要及时进行镶牙修复。
点击【在线咨询】直接问医生!方便!快捷!

种植牙植骨的步骤:
上颌窦种植外科对于植牙专科医师是重要的临床挑战之一。早发展了上颌窦内提升,是通过其设计的一种专门骨凿,微创完成临床手术。具体关于植骨步骤:
1、植骨,植入人工骨粉,盖口腔修复膜,如骨膜完整也可以不盖膜。
2、在骨面上按窦腔大小用直径2mm球钻开一矩形窗口。钻孔时只穿透骨壁,勿损伤粘膜。
3、切口从上颌尖牙到第一磨牙龈颊沟横行切口,切开粘膜、骨膜,分离翻起粘骨膜瓣,显露上颌窦外壁骨面,勿伤及眶下神经。
4、分离上移骨粘膜瓣自上颌窦底起始,用一弯度适宜的鼻粘膜剥离子贴骨壁仔细分离、上推窦粘膜直至植骨的高度,一般上移1.5cm即可。窦膜很薄,平均只有0.1mm左右,就像气球很容易破裂,一旦破裂直接影响手术效果。上颌窦黏膜穿孔的原因主要在于黏膜状况及手术操作。
5、如果同期种植,沿龈颊沟切口向腭侧分离翻转粘骨膜瓣,显露牙槽嵴骨面,在设计的位置上逐级钻孔,后将种植体旋入就位。术前骨高度严重不足的也可以半年后种植。

亡羊补牢 “牙”像树一样即刻种出来
当种植牙以它的成熟、可靠、效果明显的态势深入人心后,患者也逐渐开始采用。然而,普通种植牙在拔牙后,患者需等3至6个月的愈合等待期,缺牙状况要持续好几个月左右,这对于迫切想解决缺牙困扰问题的患者来说是一种折磨。
种植牙植骨需要多少钱?费用是否很贵?
数字看德国精工种植
1小时内即可完成一颗牙齿种植。
98.98%。
不良反应低于0.2%。
德国感控笑气吸入-种植无疼痛。
世界上第一颗精工种植牙已正常使用超过40年。
100年传承历史。
50万成功案例。
贝臣牙科:阳光收费 放心就诊
收费不仅是医患关系的核心,更彰显了一家医院是否真心实意地为百姓服务,凸显诚信问题。在收费方面,一些医院似乎总是遮遮掩掩,让患者“雾里看花”,贝臣牙科医院作为高端的口腔服务行业领先品牌,敢于直面尖锐的问题,率先建立完善的收费制度,真正做到透明收费,让百姓放心就诊的同时,为自己赢得了珍贵的口碑。
还有不明白的,点击免费咨询,或者拨打24小时贝臣美牙热线0591-88681777咨询,贝臣齿科医生为您解答!
在线咨询(免费咨询)在线近距离