种植牙植骨价格是多少
来源:贝臣齿科
2014-11-28 17:24
进入答疑区

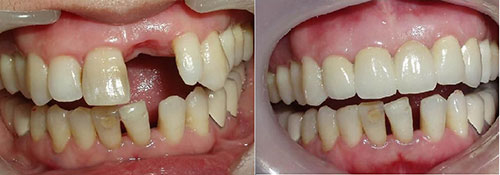
  种植牙是目前比较好的牙齿修复方式,可以有效的修复您的牙齿缺失,种植牙可以让您拥有完成的牙齿,避免了缺牙所带来的困扰。那么,种植牙作为好的修复牙齿的方法,价格是多少呢?点击免费咨询,或者拨打24小时牙齿健康热线0591-88681777咨询,贝臣齿科医生为您解答!
 


  影响种植牙价格的因素有很多,注意有以下几点:


  1、种植牙品牌:种植牙的品牌有很多种,不同的品牌做出来的过程和效果都是有差别的,因此价格也是不相同的。植得选用的德国Ankylos牙根、韩国Dentium牙根、瑞士ITI牙根,都在 国内上经过了30年以上的临床验证。为了保障种植质量,植得在全省成立第一家医疗质检中心,对每一颗种植牙全面检验,保障顾客放心、种牙。“适合各种不同需求的种植牙患者。


  2、牙冠种类:种植牙是种植体、基台和烤瓷牙冠这三个部分组成,对于种植牙上的烤瓷牙冠有很多不同的选择,比如根据固定方式就有固定的,以及移动的两种,还可以可以分为金属的和非金属的,不同的种类的效果不同,价格之间也是有很大的区别。


  3、种植牙医生:种植牙一定要到的口腔医院进行,的口腔医院对种植牙医生要求很高,这样才能确保种植牙做好之后的效果。医生的水平的高低,同时还决定着种植牙的价格的高低。种植牙医生的参差不齐,导致了种植牙价格也各不相同。点击【在线咨询】直接问医生!方便!快捷!


  数字看德国精工种植


  1小时内即可完成一颗牙齿种植。


  98.98%。


  不良反应低于0.2%。


  德国感控笑气吸入-种植无疼痛。


  世界上第一颗精工种植牙已正常使用超过40年。


  100年传承历史。


  50万成功案例。


  贝臣牙科:阳光收费 放心就诊


  收费不仅是医患关系的核心,更彰显了一家医院是否真心实意地为百姓服务,凸显诚信问题。在收费方面,一些医院似乎总是遮遮掩掩,让患者”雾里看花“,贝臣牙科医院作为高端的口腔服务行业领先品牌,敢于直面尖锐的问题,率先建立完善的收费制度,真正做到透明收费,让百姓放心就诊的同时,为自己赢得了珍贵的口碑。还有不明白的,点击免费咨询,或者拨打24小时贝臣美牙热线0591-88681777咨询,贝臣齿科医生为您解答!

温馨提示:
病情因人而异,以上信息仅供参考,请您一定到专业正规医院,接受医生的诊断与治疗。贝臣齿科提供网络咨询预约平台,可以向在线人员咨询您的情况。

在线咨询预约医生

在线咨询(免费咨询)在线近距离

点击右侧按钮查看其它视频
点击右侧按钮查看其它视频

24H免费咨询电话

贝臣节假日无休

福州贝臣齿科 — 专做口腔

福州贝臣齿科是卫生部门批准成立的专业口腔诊疗机构。在全国各大城市CBD商务核心区...[详细]

推荐医生

  • 阿诺德·马丁贝臣齿科(中

  • 穆素花贝臣世茂院技

  • 林劲松贝臣世茂院牙

  • 陈振林贝臣世茂院正

  • 阿诺德·马丁贝臣齿科(中

  • 穆素花贝臣世茂院技

  • 林劲松贝臣世茂院牙

  • 陈振林贝臣世茂院正

口腔热门项目推荐

  • 牙齿种植
  • 牙齿矫正
  • 牙齿修复
  • 牙齿美白
  • 无痛治疗
  • 儿童齿科

来院路线

来院路线
地址:福州世茂国际中心1号楼3层(地铁茶亭站D出口)