种植牙与镶牙的区别在哪里
来源:贝臣齿科
2014-11-28 17:23
进入答疑区

  现在随着科学的进步。也得到了很好的进展。种植牙作为做的牙齿修复得到了很好的进展。那么种植牙与镶牙的区别在哪里?下面看看贝臣齿科医生对种植牙和镶牙的区别问题的说明。点击免费咨询,或者拨打24小时牙齿健康热线0591-88681777咨询,贝臣齿科医生为您解答!
 


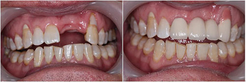
  种植牙与镶牙的区别在哪里?现在人们的生活质量进步了。人们关于口腔越来越关照了,牙齿的好坏会影响生活质量。种植牙是理想的牙齿修复。镶牙是传统的牙齿修复。


  在磨牙区部分缺失的情况下,以前只能装活动假牙。但它的咀嚼功能格外差,假牙上的金属钩不易清洁,轻易卡住食品,金属钩也易露出,影响美丽。人工种植牙则无上述缺陷。


  在牙齿缺失比较厉害的情况下,传统镶牙会以依靠牙床粘膜软组织为支撑,因此轻易活动,如果长期使用,会造成牙槽骨将逐渐萎缩现象。种牙相对比较适应牙齿缺失较少的情况,关于牙齿缺失较多情况,如果种牙在牙骨内打入较多的金属牙根,也轻易造成牙龈的损坏。但是种牙不会出现牙齿移动现象。点击【在线咨询】直接问医生!方便!快捷!


  在进行镶牙修复后,患者牙齿的咀嚼能力会变差,而且易损坏其它的牙齿,导致整体的咀嚼能力变弱。而且,镶牙之后,很轻易会积淀食品残渣等,不易清理,在影响牙齿美丽的同时,也可能会引发一些口腔疾病;而种牙的密合性格外好,是在牙槽骨内进行的,所以,不会出现镶牙的这些弊端。


  当牙齿缺失较多时,须制作全口假牙,传统镶牙牙床组织的支持,固定力较弱,不但咀嚼功能不佳,假牙也轻易松却,只有正常功能的百分之四十左右。如果牙龈受力不当,牙槽骨会出现萎缩,镶牙效果就差。但种植牙不会出现以上两点的情况,但是种植牙不会出现牙齿移动现象。所以医学界将其称为“人类第三副牙齿”。还有不明白的,点击免费咨询,或者拨打24小时贝臣美牙热线0591-88681777咨询,贝臣齿科医生为您解答!

温馨提示:
病情因人而异,以上信息仅供参考,请您一定到专业正规医院,接受医生的诊断与治疗。贝臣齿科提供网络咨询预约平台,可以向在线人员咨询您的情况。

在线咨询预约医生

在线咨询(免费咨询)在线近距离

点击右侧按钮查看其它视频
点击右侧按钮查看其它视频

24H免费咨询电话

贝臣节假日无休

福州贝臣齿科 — 专做口腔

福州贝臣齿科是卫生部门批准成立的专业口腔诊疗机构。在全国各大城市CBD商务核心区...[详细]

推荐医生

  • 阿诺德·马丁贝臣齿科(中

  • 穆素花贝臣世茂院技

  • 林劲松贝臣世茂院牙

  • 陈振林贝臣世茂院正

  • 阿诺德·马丁贝臣齿科(中

  • 穆素花贝臣世茂院技

  • 林劲松贝臣世茂院牙

  • 陈振林贝臣世茂院正

口腔热门项目推荐

  • 牙齿种植
  • 牙齿矫正
  • 牙齿修复
  • 牙齿美白
  • 无痛治疗
  • 儿童齿科

来院路线

来院路线
地址:福州世茂国际中心1号楼3层(地铁茶亭站D出口)