牙齿不整齐会影响日常的生活和工作,严重的还会影响身体健康。小米牙齿就有些龅牙,牙龈特别明显,笑起来很不美观。因为龅牙,一直遭受到不少嘲笑和歧视,这让她很受打击。龅牙让她变得性格内向,久而久之形成了自卑的心理和社交障碍。后来,家人听说可以通过矫正让牙齿改善,就想咨询下龅牙要如何矫正呢?>>>点击免费咨询,或者拨打24小时齿科健康热线0591-88681777咨询,贝臣齿科为您解答!

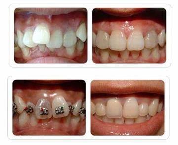
正畸医生指出,龅牙是指儿童在生长发育过程中由先天的遗传因素或后天的环境因素造成的牙齿、颔骨、颅面的畸形。随着临床研究的不断加深,现在有很多方法可以矫正龅牙。常见的有传统正畸矫正、外科手术矫正和美容冠矫正。
一、传统正畸矫正
正畸矫正就是人们常说的带牙套,价格相对很便宜,从几百块到两三千块钱。矫正过程需要依据个人情况的不同需半年到一年不等,成人的矫正甚至会更长一些。成人正畸的一个缺点就是容易反弹,同时需要患者具有很好的牙齿健康条件,要求矫正中特别注意牙齿的清洁和保护牙齿,否则容易患上龋齿。
二、外科正牙手术
外科正牙也是目前采用的比较多的矫正龅牙的方式,也是目前用的比较多的形式,通过外科手术和正畸联合矫治的方法,可以避免2--3年戴矫正器的折磨。>>>文字看累了?点击直接免费咨询吧!
三、美容冠“牙齿美容
美容冠是一种专门针对成人的牙齿矫正术,它结合了3D数码定位、wind、vita比色,是一种快速的矫正方法。该是一种新兴牙齿美容,在传统烤瓷牙的基础上强调牙齿的美容效果,对错位牙、畸形牙的临床冠部分施以手段,后用美容冠加以修复。具有美牙不拔牙,,时间短,牙齿坚固,多年后牙龈不会出现黑线等优点,从而达到有保障的美牙效果。>>>还有不明白的,点击免费咨询,或者拨打24小时贝臣美牙热线0591-88681777咨询,贝臣齿科医生为您解答!
在线咨询(向医生医生免费咨询)名医在线近距离