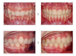
“龅牙”即是老百姓常说的暴牙,是比较严重的畸形牙问题。龅牙患者常常表现为开唇露齿,自然状态下双 唇不能闭拢,微笑时牙龈外露过多等,非常影响美观。目前随着生活水平的提高,越来越多的龅牙患者都想做牙齿矫正,那么,龅牙矫正的时机?>>>点击免费咨询,或者拨打24小时齿科健康热线0591-88681777咨询,贝臣齿科为您解答!

普通的龅牙矫正,所需时间,需要根据牙齿的错乱程度以及设计等诸多因素,这样的龅牙矫正一般需要一年半到两年左右,儿童比成人一般要快一些,拔牙治疗比不拔牙治疗的时间要长一些,复杂的错颌畸形 比简单的错颌畸形治疗时间要长,骨骼畸形比单纯牙性畸形的矫治时间要长一些。每个人的情况都不一样,要具体情况具体分析,治疗时间上也要具体情况具体分析。
龅牙矫正的时间与矫正的方式有关,传统的牙齿矫正方式是通过戴矫正器来进行矫治,而且要拔掉部分牙齿 ,需要时间比较长。牙套矫正的原理就是在牙齿表面黏上牙钉,即牙齿矫正器,再在牙钉上扣上钢线,并以 钢线施力来使牙齿移动,令牙齿重新排列。一般预计的正畸疗程是2年左右。虽然需要的时间较长,但对牙齿无损害,是很放心的。
一般来说,龅牙矫正的时期是10-18岁。然而,很多成人患者错过了的矫治时机,又由于健康、美观 、职业和社交的需要,希望自己有一口整齐的牙齿,而那些工作繁忙的成年人更是期望快速矫正牙齿。>>>文字看累了?点击直接免费咨询吧!
【推荐】牙齿正畸“德国四维隐形矫正”
隐形美观,自然舒适,无异物感,不影响日常工作和生活德国四维隐形矫正,是现代口腔医学、计算机三维诊断、个性化设计及数字化成型的完美结合,是欧洲齿科材料的巅峰之作,实现牙齿矫正与脸部塑形的完美结合,让牙齿“悄然”变美。>>>还有不明白的,点击免费咨询,或者拨打24小时贝臣美牙热线0591-88681777咨询,贝臣齿科医生为您解答!
在线咨询(向医生医生免费咨询)名医在线近距离