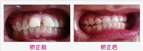
龅牙是非常常见畸形牙,龅牙的出现不仅会影响口腔健康,还会严重影响形象。所以龅牙一定要及时进行矫正。当下,龅牙发病的患者存在于各个年龄段。那么,哪些人适合做龅牙矫正?接下来就由贝臣齿科医生为大家详细介绍一下吧。>>>点击免费咨询,或者拨打24小时牙齿健康热线0591-88681777咨询,贝臣齿科医生为您解答!

医生介绍,随着牙科的不断发展,做牙齿矫正用于不同年龄段的人,采用的矫正方法是有所不同的,下面我们就分别来介绍一下关于不同人群做牙齿矫正的相关介绍。
1、儿童龅牙矫正
由于儿童是处于发育阶段,在换牙阶段的时候由于不良的习惯而导致的牙齿变形,所以一般对于儿童的牙齿矫正好在3岁左右就开始进行治疗。儿童龅牙矫正可以采用德国四维隐形矫正,隐形美观,自然舒适,无异物感,不影响日常工作和生活,结构紧密且简单可靠,造型小巧美观,治疗时更方便牙医操作,外观上显得十分整洁,可以在更短时间内,温柔又轻松地排齐牙齿,患者酸痛感小,也无需多次就诊,就能实现牙齿整齐,是家长学生非常推崇的口腔正畸。
2、青少年龅牙矫正
青少年做牙齿矫正一般是在11~18岁的时候,而12岁左右是孩子做牙齿矫正的黄金年龄。此时患儿的颌面部仍处于生长发育的快速期,而牙齿矫正也需要利用颌面部生长发育的潜力,以确保牙齿移动及牙槽骨改建的效率达到状态。青少年龅牙矫正可用德国四维隐形矫正,隐形矫正没有传统矫治过程中的钢丝和托槽,不影响美观等突出优点而广受美齿者青睐。是当前 国内口腔正畸学领域中的一项高新科技。一般治疗约9-12月即可完成。>>>文字看累了?点击直接咨询医生吧!
3、成年人龅牙矫正
人的牙齿在一生中都会处于生理移动状态,所以即使是成年人,也可以进行龅牙矫正,龅牙矫正在40岁以前比较好,矫正效果会随年龄增大而相应的减弱。成年人龅牙矫正也可以采用美国隐形矫正,但是需要的时间比较长,而贝臣齿科的德国仿生美容冠是一种专门针对成人的龅牙矫正,多种融合,仅需7天就可以告别成人龅牙困扰。>>> 还有不明白的,点击免费咨询,或者拨打24小时贝臣美牙热线0591-88681777咨询,贝臣齿科医生为您解答!
在线咨询(向医生医生免费咨询)名医在线近距离