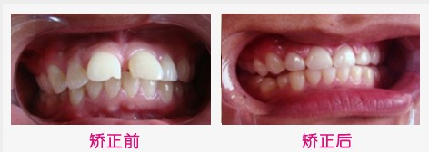
龅牙一直以来都是成人社交,工作,找对象的绊脚石,所以,龅牙及时进行矫正是很有必要的。那么,龅牙如何进行牙齿矫正?接下来就由贝臣齿科医生为您具体介绍一下吧。>>>点击免费咨询,或者拨打24小时牙齿健康热线0591-88681777咨询,贝臣齿科医生为您解答!

贝臣齿科医生介绍说不同的人龅牙的情况不一样,牙齿矫正的方法也不一样。
1、龅牙矫正得看个人龅牙到什么程度了,如果只是轻微的龅的话可以考虑用带牙套的方法去做矫正,带牙套的话比较合适未成年人做。而成年人的话因为牙齿已经固定了,再带牙套的话效果会不明显,时间也会比较长,起码要两三年。容易反弹不说,而且老的时候牙齿容易过早松动。
2、要是成年人,龅牙又不是很严重的那种还是建议可以做德国仿生美牙冠。时间短,快。7天告别龅牙困扰。>>>文字看累了?点击直接咨询医生吧!
3、如果龅牙是很严重的那种,或是骨性的那种的话就只有见意去做手术了。不过这种是风险大的,也是价格贵的,矫正牙齿建议您去的医院就诊。选择,选择,对自己的健康负责。
温馨提示:经过医生的详细介绍后,相信大家都了解了吧。龅牙严重影响美观,给我们的身心健康造成极大的影响,因此要及时的到的医院进行龅牙的整形和治疗,早日告别龅牙带来的烦恼。>>> 还有不明白的,点击免费咨询,或者拨打24小时贝臣美牙热线0591-88681777咨询,贝臣齿科医生为您解答!
在线咨询(向医生医生免费咨询)名医在线近距离