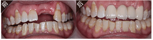
牙齿缺失在我们的生活中非常普遍,不仅影响我们的美貌,还影响饮食,单个牙齿缺失可能是由于一些意外造成的,大多数人在缺失牙齿以后都会选择做种植牙修复,那么,单颗牙齿缺失需要多少钱?>>>点击免费咨询,或者拨打24小时牙齿健康热线0591-88681777咨询,贝臣齿科医生为您解答!

单颗牙齿缺失需要多少钱
1、材料的选择:种植牙的牙材料也是多种多样的,不同的材料加工工艺不一样,价格也就不一样了,材料越好的假牙自然费用会高些,当然其功能性及效果也都是的。
2、顾客的口腔状况:顾客的口腔状况是直接影响到装假牙价格的一个重要因素。>>>文字看累了?点击直接咨询医生吧!
3、医院的设备水平:在、的口腔医疗机构,不同医院的设备水平也会影响到装假牙的价格。
4、种植牙的设备影响价格:临床上开展种植需要配备较高的设备环境:例如大型X线诊断设备、临床手术设备、技工设备、手术支持设备(心电监护、血象分析等)以及在种植牙制作时需要的一些独特的较贵重的修复材料,这也影响种植牙价格。>>> 还有不明白的,点击免费咨询,或者拨打24小时贝臣美牙热线0591-88681777咨询,贝臣齿科医生为您解答!
在线咨询(免费咨询)在线近距离