老年朋友非常注重自己的牙齿,这样才能够吃嘛嘛香,更好的吸收营养,但是一旦出现牙齿缺失则会造成一系列的健康问题,那么,牙齿缺失对老人的危害?>>>点击免费咨询,或者拨打24小时牙齿健康热线0591-88681777咨询,贝臣齿科医生为您解答!

牙齿缺失对老年人的影响
1、影响心理健康因为面容的苍老、发音的含糊,会使老年人的心理产生很大的挫折感,再加上消化系统的不适,这些改变将直接影响老年人的身心健康、加速老化。
2、影响消化功能:食物在口腔内咀嚼,促进消化液的分泌。而牙列缺失后,不能充分咀嚼,囫囵吞食,胃液分泌减少,胃肠蠕动减慢,从而加重胃肠道的负担,导致疾病,影响食物的摄入与营养的吸收。
3、影响脸形与发音:牙弓的存在维持着面部尤其是下1/3的表现,尖牙支撑口角,保证面部的丰满,一旦缺损,唇颊部会失去支持而瘪平、塌陷,鼻唇沟加深,面下1/3距离缩短、皱纹增多,更显苍老。而发音是气流在舌、齿等的配合下产生的,所以一旦牙列缺失,则不能清楚表达。>>>文字看累了?点击直接咨询医生吧!
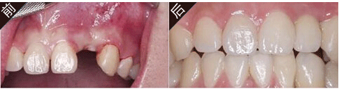
老热牙齿缺失如何进行补救
德国精工种植牙是采用一种人工材料制作成为类似于牙根形态的种植体,通过手术将其种在上下颌的组织内,等到骨组织与种植体密合后,再在上面做上烤瓷冠,从而达到牙齿种植修复牙齿的目的。
这种牙齿种植方法,对牙齿本身的损失是较小的,而且它不用磨损两边的健康邻牙,这是传统镶牙方式所无法媲美的,种植牙对人体没有任何危害,是不会伤害到牙齿的,因此人们的顾虑不必过多的担心。>>> 还有不明白的,点击免费咨询,或者拨打24小时贝臣美牙热线0591-88681777咨询,贝臣齿科医生为您解答!
在线咨询(免费咨询)在线近距离