美容冠是现今流行的牙齿美容,在传统烤瓷牙的基础上强调牙齿的美容效果,对错位牙、畸形牙的临床冠部分施以手段,后用美容冠加以修复。不过,很多人对美容冠不是很了解,常把美容冠误以为是烤瓷牙。那么美容冠与烤瓷有哪些区别呢?下面一起来听听牙科医生的介绍。
点击免费咨询,或者拨打24小时牙齿健康热线0591-88681777咨询,贝臣齿科医生为您解答!

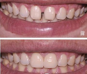
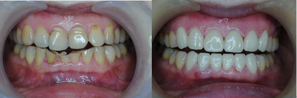
美容冠7天完美从“齿”蜕变
医生介绍,美容冠具有美牙不拔牙,,时间短,牙齿坚固,多年后牙龈不会出现黑线等优点,从而达到有保障的美牙效果。
贝臣齿科医生指出美容冠与烤瓷牙具体区别主要体现在以下几个方面:
1、从功能上看,烤瓷牙强调牙齿的治疗修复功能,重治疗效果;美容冠在保障牙齿功能的同时,更强调牙齿的美容效果。
2、从加工制作上,烤瓷牙应用传统齿科治疗,传统操作;美容冠应用精密的口腔修复,操作工艺更精密、精细。
3、在上,烤瓷牙属于传统牙科的治疗手段;美容冠运用现代科技成果于牙齿领域,包括:数码定位,VITA比色,美国WAND。
4、在色泽效果上,烤瓷牙大多采用传统的比色,牙齿颜色较容易失真、色调不一、过渡不自然、反白等假牙特征;美容冠采用德国VITA比色,色泽更自然、真实。
文字看累了?点击直接咨询医生吧!

5、从操作医生的角度,烤瓷牙由普通的牙科医生操作;美容冠由美容口腔主诊医生。
6、从排列,烤瓷牙由口腔医生依据感官操作,重点在于恢复牙齿功能,排列不考究;美容冠运用数码定位系统,牙齿排列更整齐逼真、自然。
7、从治疗功能区别上,烤瓷牙特点决定了其容易出现牙龈红肿、牙龈发黑等现象;美容冠完全符合口腔医学和人体工程学,无副作用,终身有保障,不会出现牙龈红肿、牙龈发黑等现象。
口腔美容医生从对牙齿的损伤角度,烤瓷牙会磨除较多牙体组织;美容冠仅对牙齿表面做特殊处理,尽量选择小的生理伤害,对牙齿的损伤较小。

美容冠具有美牙不拔牙,,时间短,牙齿坚固,多年后牙龈不会出现黑线等优点,从而达到有保障的美牙效果。下面我们来介绍美容冠优势:
1. 美观大方:“美容冠”牙齿美容采用新数码科技,精确分析你的牙齿形态以及病症,再采用3D定位系统,由的美容牙医为你制定美牙方案,成形后的牙齿美观大方,像真牙一般不易分辨。
2. 色泽逼真:引进国外比色,根据就诊者不同的牙色,通过29个牙色层次化类比,使成形后的牙齿达到完美的色调统一,天然逼真,常年保持美丽天然的光泽。
3.不拔牙:采用国外WAND,美牙不需动及牙根,解除你爱美又怕痛的顾虑。整个过程在轻松的音乐中完成。
4. 比正常牙齿更坚固: “美容冠”比旧时代的传统烤瓷牙更坚固,新科技的粘贴,不脱落。
5. 高效快速:新科技成果的应用,只需7天时间就可轻松拥有一口靓牙。
还有不明白的,点击免费咨询,或者拨打24小时贝臣美牙热线0591-88681777咨询,贝臣齿科医生为您解答!
在线咨询(免费咨询)在线近距离