补牙前注意事项
来源:贝臣齿科
2017-10-15 15:49
进入医生答疑区

  想要具体了解补牙前注意事项 点击【在线咨询】直接问医生!方便!快捷出现蛀牙或者牙齿缺损,那么就需要去进行补牙,恢复自己的牙齿功能,同时让自己的牙齿不再疼痛,可是补牙并不是想补就补的,补牙前注意事项?下面请医生介绍一下。
 

  补牙前注意事项?医生介绍:补牙看上去不值一提,但是补牙对医生的专业水平和医疗设备要求还是挺高的,如果医生技术不过关,很可能导致补牙失败或者牙齿咬合困难等问题,所以一定要选择正规专业的口腔医院进行补牙。直接与医院在线医师一对一通话,方便!快捷!了解详情就医指导。
 


 

  补牙前注意事项:
 

  第一点,补牙修复宜及时,及早的补牙修复,可有效终止龋病的进一步发展,且早期的补牙修复,其疗程短、费用低、效果好。
 

  第二点,补牙应选择正规、专业的牙科机构来做,正规、专业的牙科机构拥有比较先进的医疗设备、医生比专业且经验较为丰富,同时严格遵照牙科设备一个一消毒,可补牙的确切疗效。文字看累了,点击在线咨询医生!方便!快捷!
 

  第三点,补牙前,牙科医生会对患者口腔进行的检查,如口腔内有炎症等相关病变需要进行规范的治疗;同时牙科医生会根据患者龋齿的数量、部位及龋病的病变程度制定较佳的补牙修复方案。
 

  第四点,在补牙材料的选用上,应综合考虑患者的具体情况而定。
 

  医生提醒:选择正规专业的口腔医院进行补牙,是补牙前较重要的一步,是补牙得到效果的关键。
 


 

  微创补牙术
 

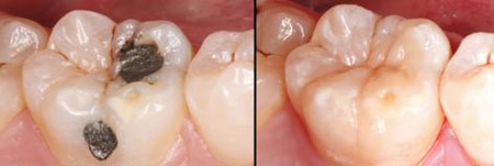
  补牙前注意事项?贝臣齿科的微创补牙通过使用专业器械,通过计算机控制微创麻醉注射仪,根据患者感觉疼痛程度调节镇痛效果,在患者相对舒适的状态下去除骨组织、分割牙齿,拔除患牙,感觉轻微。采取高性能的树脂材料,依靠化学粘结作用与牙体组织结合,不必制备特殊的固位洞型,颜色与牙体,可以达到美观效果。微创补牙手术损伤较小,既有利于补牙创口的愈合,保持牙槽骨完整性又减轻了患者的疼痛感和畏惧感。更多问题点击咨询医生!方便!快捷!
 

  以上就是医生对补牙前注意事项的介绍,如果您还有其他问题,可以点击在线医生进行询问,同时您也可以拨打我们的热线进行详细的电话咨询与预约。贝臣齿科帮您解决您的牙齿问题。
 

温馨提示:
病情因人而异,以上信息仅供参考,请您一定到专业正规医院,接受医生的诊断与治疗。贝臣齿科提供网络咨询预约平台,可以向在线人员咨询您的情况。

在线咨询预约医生

在线咨询(免费咨询)在线近距离