福州牙齿矫正的医院哪家好?
来源:贝臣齿科
2015-09-15 14:37
进入答疑区
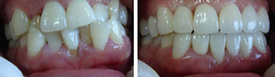
  “女神”Angelababy近大受整容争议,Angela Baby准备效仿范爷,接受检查证明她除了牙齿矫正外,下颚及身体其他部位从未做过整容手术!看到这一新闻,很多人在想牙齿矫正真的能改变脸型吗?在福州越来越多的市民都在问哪家医院做牙齿矫正好?作为连锁的福州贝臣齿科,采用的牙齿矫正都源自较,尤其是隐形矫正在福州贝臣受到多矫正牙齿选择的方法!想拥有明星般的牙齿?直接预约福州贝臣矫正医生,无需排队更方便
 
  不是每家医院都能做好牙齿矫正
 
  很多人认为只要是口腔医院都能做牙齿矫正,但是福州贝臣连锁齿科许长记医师介绍说,虽然牙齿矫正出现比较早,每家口腔医院都有开展牙齿矫正,但是并不是每家医院能做好牙齿矫正,比如,医院所购买的材料不,消毒工作没做好,会伤害到牙槽骨,牙髓疼痛、牙齿松动、牙根吸收有问题等!而在福州贝臣做牙齿矫正,德国四维隐形矫正的材料性,您都可以很放心。
 
 
  牙齿矫正选贝臣 品牌有保障
 
  贝臣齿科连锁选址全国各大城市CBD商务核心区的地标性建筑,全力打造五星级牙科诊疗连锁机构,专注服务于各大城市社会精英以及广大爱牙人士。为客户提供牙齿种植、美容修复、牙齿正畸、牙齿美白、治疗等服务。
 
 
 
  全国德国四维隐形矫正医师较多
 
  在贝臣齿科,拥有多名德国四维隐形矫医生,专注隐形矫正,为您提供治疗。他们不仅经验丰富,诊疗也高,10年以上的学习和实习经历,多项临床成功案例。  还有不明白的,点击免费咨询,或者拨打24小时牙齿健康热线0591-88681777咨询,贝臣齿科医生为您解答!

温馨提示:
病情因人而异,以上信息仅供参考,请您一定到专业正规医院,接受医生的诊断与治疗。贝臣齿科提供网络咨询预约平台,可以向在线人员咨询您的情况。

在线咨询预约医生

在线咨询(向医生医生免费咨询)名医在线近距离