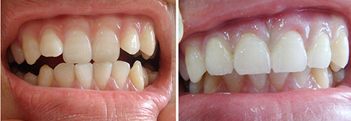
怎么矫正虎牙比较好
来源:贝臣齿科
2014-12-03 16:50
进入答疑区
  “虎牙”是尖牙向唇侧突出而形成的,有些人认为可爱,而有些人认为不好看,而在口腔医生的眼里,虎牙比较影响美观,虎牙更会影响咀嚼,如若虎牙过度空出,使之上下颌牙齿咬合不正,导致颞下颌关节等疾病,会影响到我们人体健康随着口腔常识的普及,60%长虎牙的人士愿意接受矫正虎牙,哪种矫正方法好成为这些人群心中的疑问!随着矫正的层出不穷,隐形矫正成为新潮流,在当今矫正中占据重要地位! 有小虎牙不知道能矫正吗?直接点击进行在线免费咨询问医生 更方便快捷
 
  隐形矫正分为两大类:无托槽隐形矫正和舌侧矫治。隐形矫正,顾名思义,即矫治器佩戴者在日常生活中周围的人看不到唇侧有钢丝和托槽的存在,因而称之为隐形,也叫做美观矫正。它既达到了矫正牙齿的效果,同时极大地满足了更多成人患者对矫治器美观性、隐蔽性和便捷性的要求,近年来受到越来越多的正畸人士的青睐。
 
  德国四维隐形矫正快速告别小虎牙
 
  德国思维隐形矫正来自德国,可以针对不同年龄、牙齿不同程度情况进行矫正,在正畸领域的科技创新上获得了包括三维模型软件在内的130余项专利。据统计,德国四维隐形矫正系统已在全球超过45个国家推广,使用者超过200万,患者满意度超过96%。在做虎牙正畸前,由于限制,很多人对矫正的过程是牙齿是怎么一步步移动到正常位置和矫正的效果,都没有可以提前预知的概念和直观的感受。而德国四维隐形矫正独家专利研发的方程式(ClinCheck),结合个人脸部轮廓特点精准分析,模拟患者疗程中牙齿移动的每一细节,在术前就可以预知矫正效果,每副牙箍均带有防伪标记及患者名字。德国四维隐形矫正多少钱?直接点击免费在线问医生,方便、快捷
 
  德国四维隐形矫正小虎牙流程:
 
  初诊:德国四维隐形矫正认证医师会为您仔细检查口腔状况并套取牙模、牙齿的X光片及照片。
 
  方案设计:高科技三维治疗方案您的牙齿印模在经过数字处理后会由电脑生成一套三维治疗方案。您将可以看到在使用德国四维隐形矫正治疗前后牙齿移动的的虚拟效果。
 
  订制隐形牙箍:自动生产的定做矫治器立体模拟分析经医生再次复核后,便开始采用精密仪器为您量身订做一系列的隐形牙箍,因每位患者牙齿情况程度不一,所需的牙箍数量也不大相同。
 
  更换流程:每两周更换一套新的矫治器医生会按次序分发2—3副牙箍,让您每两星期于家中自行更换新一副牙箍,只需要4—6周复诊一次,降低了复诊频次。
 
  德国四维隐形矫正优点:
 
  1、美观:由于隐形矫正采用高分子树脂材料制作而成,具有几乎隐形的优势,能让顾客在别人毫无察觉中完成矫正,进而解决了广大顾客对戴钢丝牙套矫正美观的顾客。
 
  2、舒适:由于隐形矫正摆脱了传统矫正器所谓的卡环、托槽等装置,而且能自行摘戴,使牙齿矫正过程更加舒适、自在。
 
  3、时间短:隐形矫正与传统的矫正相比,大大缩短了牙齿矫正的时间,一般1年半左右即可完成,进而恢复牙齿的整齐度和功能。  还有不明白的,点击免费咨询,或者拨打24小时牙齿健康热线0591-88681777咨询,贝臣齿科医生为您解答!

温馨提示:
病情因人而异,以上信息仅供参考,请您一定到专业正规医院,接受医生的诊断与治疗。贝臣齿科提供网络咨询预约平台,可以向在线人员咨询您的情况。

在线咨询预约医生

在线咨询(向医生医生免费咨询)名医在线近距离