这是一个看脸的时代,龅牙、牙齿畸形等等都是影响美观的重要杀手,越来越多牙齿畸形或龅牙的人群愿意去口腔医院进行矫正牙齿,可是传统的牙套如铁齿钢牙”形象般有碍观瞻,因此,隐形矫正应运而生。对于隐形矫正人们更多关注的是费用问题,福州贝臣齿科罗维明博士指出,隐形矫正的收费,相比其他矫正要稍微贵些,不过它的效果是与价格是成正比的,它的美观度、性是其他矫正无可比拟的,现代人越来越多选择隐形矫正来改善自己的美观!
您还可以通过点击直接与在线医生咨询!或拨打贝臣齿科电话0591-88681777咨询,贝臣齿科医生为您在线解答!
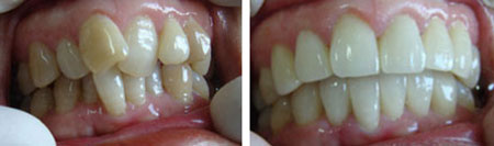
隐形矫正牙齿也就是无托槽矫正,它是一种全新的矫正。不需要托槽和钢丝,采用的隐形矫治器,在矫正过程中没有粘结托槽、调整弓丝的繁琐,操作更加简单,缩短治疗时间。

影响隐形矫正牙齿的费用:
1、隐形牙套选择材料:根据牙套材料不同而不同,普通的隐形牙套价格一般需要做1~1.5年,完全的隐形牙套,由于位于牙齿的内侧,操作起来难度很大,因此治疗费用比一般的要贵3倍,我们不光光要考虑价钱的问题,我们更需要考虑的是效果。
2、隐形矫正选择方案:隐形牙套是不能单卖的,它必须根据患者的实际情况量身定制。隐形牙套的费用与牙套的材质、患者的牙齿形态、制定的改正方案有密切关系。医生会根据患者的具体情况和需求制定隐形矫治方案,然后估算费用。
3、个人牙齿畸形实际情况:隐形牙齿矫正器价格因每个人牙齿畸形情况不同,治疗难易程度不同,费用也有差别。牙齿矫正前期治疗包括检查、拍x光片,设计、分牙、粘托槽,有的可能需要拔牙。牙齿矫正前期治疗费用一般为总费用的三分之一左右。
4、其他:隐形牙齿矫正器价格根据地区、医院的等级不同而不等,一线城市自然会比二线城市贵。大医院由于医生的水平与医院的设备及消毒设施高,自然也比小医院贵,普通牙齿矫正整个周期的费用是八千到一万左右元(仅供参考,具体到院咨询),是使用金属托槽,以后每个月复诊一次,每次根据治疗情况及材料收费。
福州贝臣齿科提醒您:虽然很多诊所都宣传隐形矫正项目,费用也有高有低,但并非隐形矫治的能力和服务能力,另一方面并不是所有的医生都具备做隐形矫正的资格,需要由指定授权医师进行操作,贝臣齿科具有多名医生提供德国四维隐形矫正服务,福州贝臣齿科贝臣齿科享用德国BaiNian齿科经验,汇聚德、美、法、韩牙科团队并结合亚洲人口腔结构全力打造的口腔诊疗服务,为更规范地建设新型齿科机构,以顾客为中心,以质量为核心,以现代审美学为灵魂,牢固树立优质服务就是生命,领航中国领先的高端齿科机构。
文字看累了?直接点击在线咨询医生,详细了解更多

德国四维隐形矫正 快速拥有明星般的牙齿!
德国四维隐形矫正金标准,被包括哈佛大学、美国太平洋大学和纽约大学在内的超过65个口腔正畸医学院列为授课内容,通过美国食品药品管理局(FDA)、中国食品药品监督管理局(SFDA)的批准,生产流程通过 国内标准化组织(ISO)认证,在正畸领域的科技创新上获得了包括三维模型软件在内的130余项专利。据统计,德国四维隐形矫正系统已在全球超过45个国家推广,使用者超过200万,患者满意度超过96%。
选择贝臣 选择高品质
福州贝臣齿科以“创中国种植牙第一高度”为核心标杆,不仅拥有来自德、英、美、韩、中等众多 国内口腔医学领军人物联盟,且拥有欧洲领先的德国精工种植牙、 国内化 齿科设备及材料,在行业内率先开展16项 国内口腔金标准模式,在价格上有保障,严格按照国家物价标准收费,价格公开透明,豪而不贵价格体系,为每位顾客带来满意尊崇体验。
还有不明白的,点击免费咨询,或者拨打24小时贝臣美牙热线0591-88681777咨询,贝臣齿科医生为您解答!
在线咨询(向医生医生免费咨询)名医在线近距离