想要具体了解成人牙齿矫正需要多少钱?>>>点击【在线咨询】直接问医生!方便!快捷!整齐漂亮的牙齿是人人都想拥有,尤其是成人更想拥有,但生活中不少成人存在牙齿不齐的问题,而通过牙齿矫正可以很好解决,所以都想了解成人牙齿矫正的价格,那么,做成人牙齿矫正一般多少钱?我们跟随专家一起来看一下。

1、与患者所选择的牙齿矫正方法有关。就目前来说,可供患者选用的牙齿矫正方法就有很多,矫正器不同则价格也不相同。
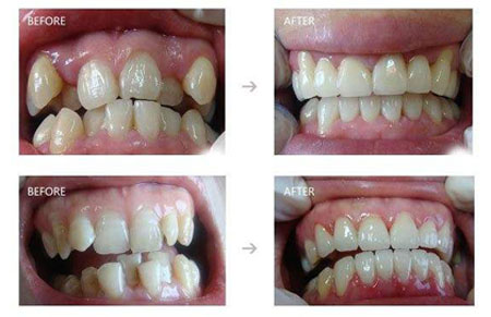
2、与患者自身的牙齿情况有关。由于不同的患者口腔情况都不一样,因此往往体现在矫正时间和难易程度上也会不一 样。【立即咨询】
3、与患者所选择的医院环境有关。由于不同的医院,无论是在医生的资质上,还是在医院的设备引进上都不尽相同,自然价格上也有差异。
【无托槽隐形矫正——牙齿无声无息中整齐】
贝臣齿科新引进的无钢丝、无托槽隐形矫治技术,不需要托槽和钢丝,采用一系列隐形矫治器,通过在牙齿上施加适当的、可控制的力来使牙齿逐 步移位, 终达到预期的矫治效果。其透明的、可以自行摘戴的特点,使矫治过程几乎在旁人无察觉中完成,不影响日常生活和社交。
隐形矫治采用的是完全个性化 的设计理念,通过三维诊断软件,主诊医生可以在矫治前为演示整个矫正过程,方便医患沟通。并且,材料是由已通过FDA认证的弹性透明高分子材料制成,安全 可靠;矫治器厚度不到1mm,光滑舒适,戴用时无明显异物感和粘膜刺激,感觉舒适。>>>点这里,直接预约医生!方便快捷!
美观:几乎完全隐形。您将在别人毫无察觉中完成牙齿矫正,解决了许多患者对矫正牙齿的美观顾虑。
舒适:由于没有传统意义上的托槽、钢丝等矫正装置,矫正过程不再痛苦。对牙周组织的刺激及不适感 低。
方便:可自行摘戴,不影响社交、进食、运动等。同时复诊次数减少,节约您的宝贵时间。
清洁:口腔卫生容易维护,不必担心牙龈炎、牙齿脱矿、变色等问题。
便捷:短而有效的治疗疗程,一般治疗约9-12月即可完成。传统方法治疗时间约8小时,隐形正畸仅为3小时。
在线咨询(向医生医生免费咨询)名医在线近距离