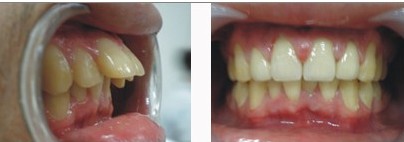
龅牙矫正注意哪些?众所周知龅牙是牙齿畸形中较常见的一种,同时也对患者形象具有很大的影响。因此众多龅牙患者都希望能够及时做好矫正。但牙齿矫正不是那么简单的,需要注意一些事项。那么,做龅牙矫正需要注意哪些事项?>>>点击免费咨询,或者拨打24小时牙齿健康热线0591-88681777咨询,贝臣齿科医生为您解答!

贝臣齿科医生介绍:龅牙矫正的注意事项:
1、X线检查:每个患者常规拍摄头颅侧位片和全口曲面断层片。
2、照相:治疗前医生要常规给顾客照面部照片和牙合的照片,留待日后与治疗结束时作对比。
3、咬牙印:(即取模型)用于医生对错和情况进行诊断和设计,以及在以后的治疗过程中作对比检查。
4、制定治疗计划:医生根据模型,照片和X线片,经过测量,计算,诊断错合类型,并且制定出一个详细的治疗方案。然后医生向顾客及顾客家属解释各个治疗方案,征求顾客及家属的意见。治疗方案确定后,顾客或顾客家属在同意书上签字。>>>文字看累了?点击直接免费咨询吧!

同时,龅牙矫正术后需要作如下护理:
1、龅牙矫正初戴时应吃软的食物,适应后再吃正常食物。
2、龅牙矫正后不要咬太硬的食物,比如核桃一类的东西。
3、龅牙矫正后会有轻度不适感患者应耐心练习使用,逐渐适应。
4、龅牙矫正后应注意保持口腔清洁,养成餐后刷牙的习惯,牙缝间可以使用牙线清洁,并定期到机构检查、洁牙。
5、龅牙矫正初期与修复前相比,上下牙尖对位可能会有变化,要缓慢进食,逐渐适应,以免咬伤颊舌粘膜。
6、龅牙矫正后初期避免吃过凉过热的食物,以免引起激发痛。大约两周以后可以正常进食。>>>还有不明白的,点击免费咨询,或者拨打24小时贝臣美牙热线0591-88681777咨询,贝臣齿科医生为您解答!
在线咨询(向医生医生免费咨询)名医在线近距离