20岁的小张有这样一段经历,曾经从来没有谈过恋爱的她,在一次同学聚会上碰见了令她心动的他,她心理知道自己喜欢上了这个男生,可是她没有做出任何让这个男生感觉到她喜欢他的举动。唯一不能控制的就是她想接近他,想看着他,但是不敢和他说话,生怕嘴巴一张开就露出龅牙,破坏了自己在男生心中的形象。

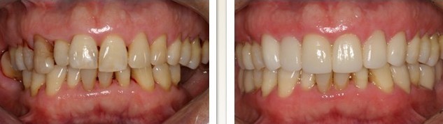
于是她就怀着爱他却不敢跟他说的心理,暗自告诉自己把龅牙矫正好了再和他说话,想让自己在他心里留下一个好的形象,她听朋友说贝臣齿科的矫治很好,并且矫正周期短,价格也比较合理。于是她来到贝臣齿科,接受了医师推荐的美容冠修复快速矫正法,过了一段时间后整齐的牙齿排列在她的口里。
当她正准备接近他的时候,她却从朋友那里听到了令她心痛的消息,那男生有女朋友了。看完这个故事我想你也会感到惋惜,但有的机缘是不能等的,错过了就真的错过了。

医师推荐矫治——美容冠修复(矫正周期短,过程轻松)
美容修复采用3D数码定位技术,将患者的结合脸型、肤色设计个性化的美牙方案,矫正后牙齿坚固、美观大方。术后当天即可改善唇形、脸形和咬颌关系,短时间——4-7天即可能拥有一副整齐的牙齿。近几年流行一种新兴的牙齿美容冠“美牙冠”,美容冠修复吸取了各种长处,突破传统烤瓷牙的各种弊端,具有美牙不拔牙、苦、时间短、牙齿坚固、多年后不出现黑线等优点,从而达到有保障的美牙效果。
贝臣齿科美容冠修复的优势:
一、精密性,美容修复采用的纳米科技,对牙齿修复体表面进行处理,修复体与原牙结合部位可以达到纳米级别,使其与口腔具有非常良好的密封性,因此术后牙齿不会出现红肿,黑线等问题。
二、仿生性,完全模仿牙齿生物构成形态(牙釉质,牙本质)的仿生的材料,外部纳米瓷、内部生物瓷经高温融合而成。具有良好的生物相容性,与原牙无二,不会给口腔其他部位带来任何副作用。
三、美观性,运用新的数字化设备精确分析牙齿形态、大小、颜色以及症状,制定出与本人整体牙列、口腔维度,肤色为匹配的牙齿形态。具有非常良好的美观性。
四、健康性,美容修复所采用的纳米瓷、生物瓷稳定性强,物理稳定性是黄金的27倍,硬度是黄金的16倍。物理“惰性”好,不会受到酸碱性不同的食物、液体的侵蚀。没有任何的放射性,使牙髓、牙神经得到有效保护,完全杜绝了过敏现象。
在线咨询(向医生医生免费咨询)名医在线近距离