想要具体了解种植牙前应了解这些注意事项?
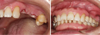
点击【在线咨询】直接问医生!方便!快捷!生活中很多人因为各种原因导致前牙出现缺失,前牙缺失不仅影响人的外在形象,甚至严重影响人的心理健康,所以及时到医院进行种植牙修复就显得尤为必要了。那么种植前牙前应注意哪些呢?且听贝臣齿科为您解答。

医师表示,种植牙齿虽然是一个较小的手术,但是需要专业的设备、过硬的操作水平和严密的医患配合,这样才能取得理想的种植效果。
种植前牙需要注意的事项:
点这里,直接预约医生!方便快捷!
第一、选择正规的医疗机构和专科医生:要选择那些正规的、水平力量强、种植设备先进的医疗机构;医生要经过正规学习和训练,并且有丰富的种植牙经验。
第二、查看种植牙产品的合法性:向医生了解给自己使用的种植牙是否经过国家法定部门许可使用。在我国,正规的种植牙的产品除应有国家医药管理局的生产许可证外,还必须经过卫生部的审查并取得临床使用批件。
第三、了事前与医生进行很好地交流:清楚种植牙用于自己的具体失牙情况时能获得什么样的效果,需要注意什么问题,并且很好地与医生配合。
【显微微痛速导种植术】——快速安全种好牙
是指在计算机系统指挥下,根据患者的口腔断层成像数据自动形成精确立体的三维、四维口腔骨骼图像,精确的测量出原来传统二维平面X光片所无法测量出的牙槽骨的质和量,以及颌骨的颊舌径宽度及上下牙槽神经管和走行,计算机将一系列的精准测量数据上传计算机云端,与78国人体口腔数据库中数据进行精准比对,快速匹配出标准模型,并自动创建精准的可视化“种植手术模板”,能够在术中精确引导种植体植入的精准位置和适合深度。
另外,在显微镜下放大21倍,精密修复烤瓷牙冠,将依据个体五官、脸型、性别等特体差异,量身定制精美的牙冠,牙齿种植、牙周修复、颌面美学各专业牙医通力协作,让种植方案更完美周密。
还有不明白的,点击免费咨询,或者拨打24小时贝臣美牙热线0591-88681777咨询,贝臣齿科医生为您解答!
在线咨询(免费咨询)在线近距离