做种植牙的条件有哪些?
来源:贝臣齿科
2015-09-14 15:40
进入答疑区
  很多牙缺失患者一来到医院就会咨询:“我适合做种植牙吗?”,福州贝臣齿科医师表示:种植牙近几年来受到大力追捧,这不仅仅使人们的牙齿“重生”,而且不影响咀嚼,寿命长,更被誉为“人类的第三幅牙齿”,贝臣罗维明介绍说,虽然种植牙已经成为牙缺失较好的修复方法,但是并不是每个人都适合做种植牙,选择做种植牙是需要行检查,看患者是否适合做种植牙手术,那么做种植牙的条件有哪些?点击免费咨询,或者拨打24小时牙齿健康热线0591-88681777咨询,贝臣齿科为您解答!
 
  做种植牙的条件:
 
  一、首先要是个身体健康的成年人,因为成年人骨骼和牙齿已经定型了,这样才不会因为骨骼和牙齿的继续发育而导致种植牙出现变动的情况。而女性发育比较早,一般16周岁时骨骼就发育完成。
 
  二、要求患者本身体质健康,口腔卫生情况良好。医师进行口腔检查,拍全景X光片和做血液常规检查,如有出血性疾病、高血压、心脏病、糖尿病等全身疾病,口腔内部的软组织有明显炎症、病损等疾病,应该在这些疾病治疗稳定后,就可以接受种植牙手术。
 
  三、牙床骨要有一定宽度和高度,因为一般人工种植钉长10-14毫米,直径为3-4.5毫米。如果牙床骨不够宽和高,则应先行植骨术后再考虑种植。

 
  四、如果骨层过于疏松,人工种植牙无法与牙槽骨紧密结合,植牙势必失败。对于这种情况,只能让病人放弃人工植牙,改用传统假牙修复。
 
  温馨提示:做种植牙一定要到的牙科医院接受治疗,这样才能增加手术的,保障自身的,达到理想的修复效果。文字看累了?点击直接咨询医师吧!
 
  种植牙选择贝臣 享设备
 
  贝臣齿科经过多年的经营和发展,已经成为规模较大的齿科连锁品牌,集团在中国拥有福州、成都、泉州、湖州等数多家齿科连锁机构,
 
  在人才、诊疗设备、、服务模式、品质工艺上均体现德国“精于工,专于术”的严谨精密的特质。在上,贝臣齿科拥有德国西诺德牙床系统、普兰梅卡全景CT系统、四维隐形矫正系统、炫彩美白系统等优质全套齿科诊疗设备;在人才上,贝臣汇聚了经验丰富的牙科医师,让爱牙人士不出国门即可享受优质齿科服务。

 
  德国精工种植牙 让落齿重生
 
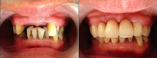
  精工种植牙是一种全新的种植牙工作平台,凭借德国牙医的和西诺德、普兰梅卡CT“神奇慧眼”相助,先以3D成像系统检查口腔情况,确定牙槽骨的宽度、高度、硬度情况,对种植牙方案设计、种植体选择、手术过程等每个细节都能做到模拟种植、精确定位,使患者在微创、、舒适的状态下,轻松再"长"新牙。结合德国牙医丰富的经验和娴熟的技巧,可以完美实现整个种植过程,大大缩短治疗时间。种植牙的手术创伤更小,恢复更快,种植体更牢固,术后咀爵更有力,种植牙使用寿命更长。
 
  后福州贝臣齿科提醒您:种植牙一定要到的医疗机构接受修复,进行检查,这样才能保证良好的效果和自身的性。如果还有什么不明白的,欢迎咨询我们的在线医师,我们将会为你进行详细讲解。还有不明白的,点击免费咨询,或者拨打24小时贝臣美牙热线0591-88681777咨询,贝臣齿科为您解答!

温馨提示:
病情因人而异,以上信息仅供参考,请您一定到专业正规医院,接受医生的诊断与治疗。贝臣齿科提供网络咨询预约平台,可以向在线人员咨询您的情况。

在线咨询预约医生

在线咨询(免费咨询)在线近距离

点击右侧按钮查看其它视频
点击右侧按钮查看其它视频

24H免费咨询电话

贝臣节假日无休

福州贝臣齿科 — 专做口腔

福州贝臣齿科是卫生部门批准成立的专业口腔诊疗机构。在全国各大城市CBD商务核心区...[详细]

推荐医生

  • 阿诺德·马丁贝臣齿科(中

  • 穆素花贝臣世茂院技

  • 林劲松贝臣世茂院牙

  • 陈振林贝臣世茂院正

  • 阿诺德·马丁贝臣齿科(中

  • 穆素花贝臣世茂院技

  • 林劲松贝臣世茂院牙

  • 陈振林贝臣世茂院正

口腔热门项目推荐

  • 牙齿种植
  • 牙齿矫正
  • 牙齿修复
  • 牙齿美白
  • 无痛治疗
  • 儿童齿科

来院路线

来院路线
地址:福州世茂国际中心1号楼3层(地铁茶亭站D出口)