牙缺失不仅影响形象、美观,还会影响日常饮食,在这个“吃货”横行的年代,每个人都想享受“舌尖上的美味”,可是由于牙缺失让这类人群看着美食只能“望洋兴叹”。种植牙的出现不仅取代了传统的假牙安装,更让牙缺失者真正感受到酸甜苦辣的真实美味!越来越多的人愿意接受这项新!也被人类称为“第三副牙齿”,针对一颗种植牙的费用,福州贝臣齿科医生表示:一颗种植牙护理的好,可保终身,这价值是和价格无法比拟的!
您还可以通过点击直接与在线医生咨询!或拨打贝臣齿科电话0591-88681777咨询,贝臣齿科医生为您在线解答!
福州贝臣齿科:一颗种植牙费用受多种因素影响
1、因为种植牙不同于别的:他有很多种种植体,具体的价格要根据种植体的价格多少来确定,而选择种植体又要根据个人的情况,所以这是影响价格的因素之一。
2、还有就是你选择的医院和医生:种植牙需要很高的,不是随便一个医生就能做的,所以一些小医院根本做不了种植牙,即使他们能做,您能放心么?
3、种植牙要费用与种植牙材料有关:随着种植牙齿的成熟,种植牙的材料也越来越多,有金属类、陶瓷类、复合材料等。顾客可根据自己的牙齿情况和经济条件选择适合自己的,材料不同,种植牙需要费用也就不同。
4、种植牙的费用还与当地的消费水平有关系:不同的口腔医院种植牙的费用也是各不相同的,有一点大家需要注意的是,不要贪图便宜这样会影响到种植牙的使用寿命。

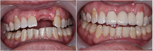
德国精工种植牙--重拾舌尖上的美味
贝臣齿科结合瑞士ITI种植系统核心,采用德国精工种植牙,根据亚洲人颌面形态特征、采用3D计算机精确定位系统治疗,仅需3~4mm微小创口即可完成,无论您是单颗缺牙、多颗缺牙、还是全口缺牙、死髓牙都可以获得完美解决。不仅保证了口腔功能重建和舒适修复,同时快速有效解决了无牙颌患者的困扰。
文字看累了?直接点击在线咨询医生,详细了解更多
贝臣齿科源自德国“精细、严谨、”的精工世家特质,具有德国口腔治疗领导体系,结合瑞士ITI种植系统等核心,汇聚了国内外 口腔种植名家,采用欧美八大王牌种植,3D设计术前可预知效果;且多次成功承办国内外种植牙峰会,推进华东地区乃至国内种植牙临床的整体发展,将新、微创应用到种植牙领域,帮助更多的缺失牙顾客更好的享受"口福"。
福州贝臣齿科:阳光收费 放心就诊
收费不仅是医患关系的核心,更彰显了一家医院是否真心实意地为百姓服务,凸显诚信问题。在收费方面,一些医院似乎总是遮遮掩掩,让患者“雾里看花”,贝臣牙科医院作为高端的口腔服务行业领先品牌,敢于直面尖锐的问题,率先建立完善的收费制度,真正做到透明收费,让百姓放心就诊的同时,为自己赢得了珍贵的口碑。
还有不明白的,点击免费咨询,或者拨打24小时贝臣美牙热线0591-88681777咨询,贝臣齿科医生为您解答!
在线咨询(免费咨询)在线近距离