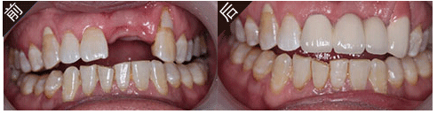
多颗牙缺失容易导致剩余的牙齿倾泻、移位或者侧伸长,威胁剩余牙齿的健康,导致咬合关系紊乱,更影响牙齿的咀嚼功能。让很多人头疼不已,那么,多颗牙齿缺失怎么办?>>>点击免费咨询,或者拨打24小时牙齿健康热线0591-88681777咨询,贝臣齿科医生为您解答!

目前修复多颗牙齿缺失较好、快速的方法就是牙,效果显著,采用牙进行牙齿修复可以较大限度的减少损伤,无论是多个、单个,还是全口牙齿缺失,都可以采用此方法。
牙和传统假牙相比有哪些优势
1、可少磨或不磨自己的真牙:种植牙不用像镶烤瓷牙那样磨除牙齿做固定桥,而是采用人工种植牙根来作为种植牙的固定桥。种植牙和传统假牙相比有哪些优势。
2、具有很强固位和稳定性:可像真牙一样扎在顾客的口腔里;由于种植体深植于顾客的牙槽组织,往往人工牙根与顾客的牙槽骨紧密结合以后,种植牙就可以像真牙一样扎根在口腔里,相比于传统假牙修复而言,具有更强的固位力与稳定性。您更关心:牙贵吗>>>文字看累了?点击直接咨询医生吧!
3、不需要活动牙必备的基托和卡环:没有大面积的基托导致的味觉迟钝与不舒适感,非常舒适,而且清洁起来也更方便,有利于好保持口腔的清洁与卫生。
4、它的咀嚼功能优于其它假牙:由于种植牙修复后的牙齿,稳固性好,往往还可更好地恢复牙齿的咀嚼功能,咀嚼功能优于其他传统假牙。>>> 还有不明白的,点击免费咨询,或者拨打24小时贝臣美牙热线0591-88681777咨询,贝臣齿科医生为您解答!
在线咨询(免费咨询)在线近距离