多颗牙缺失有什么危害
来源:贝臣齿科
2017-09-15 15:13
进入答疑区

  想要具体了解多颗牙缺失有什么危害 点击【在线咨询】直接问医生!方便!快捷老人年纪大了难免会有多颗牙齿脱落,还有一些朋友由于牙周病也可导致牙齿脱落。单颗牙齿缺失有时候还可以掩饰,多颗牙齿就不能不管不问了,因而牙齿缺失一定要尽早的去镶上,免得给自己造成一定的伤害,那么多颗牙缺失究竟有什么危害呢?直接与医院在线医师一对一通话,方便!快捷!了解详情就医指导。
 


 

  牙齿缺失可造成多方面的影响,包括对齿关节,发音功能,甚至面部美观都会带来较大的影响,具体就来给大家做如下的介绍:
 

  危害一、影响齿科关节,当牙齿缺失较多时,剩余牙齿倾斜、移位或向对侧伸长等现象,使咬合关系紊乱,阻碍了下颌骨向前伸或左右运动。有时因一侧缺牙,用另一侧咀嚼,形成偏侧咀嚼习惯,肌肉出现张力不平衡,长此下去肌肉会出现疲劳,髁突后移,关节盘水肿,关节区会感到不适,甚至出现疼痛、张不开口、关节弹响等症状,临床上称为颞下颌关节紊乱症。
 

  危害二、影响发音功能牙齿与舌、唇、颊肌相互配合,控制着气流经过齿科的路线和流量,从而发出不同的声音。掉一两颗牙齿,对发音影响不大,可缺得多了,特别是前牙缺失或全部牙齿缺失时,说话既费力又不清楚。这是因为舌尖失去了原有的发音定位标志,气流经过的路线中少了一道控制的关口,所以说话听起来就像漏风一样。点这里,直接预约医生!方便快捷!
 

  危害三、影响美观造成面部变形脸型在人体美中占有重要的位置。多数人只知道眼睛对人的外貌很重要,却不知道,脸型的美观与谐调,是由完整的牙列来维持的。牙齿全部缺失后,由于上、下颌骨间失去了支持,而且牙槽骨或整个颌骨因缺乏正常咀嚼力量的刺激,将会逐渐蜕变、萎缩,造成下巴的长度变短,面颊部和周围肌肉松弛,唇、颊部内陷,口角下垂,面部变形及皱纹增多,整个人看起来要比同龄人老得多。
 

  危害四、缺牙咀嚼连累消化系统在正常情况下,可当个别牙齿缺失或牙列缺失后,咀嚼效率随之降低甚至丧失,唾液分泌减少,胃肠蠕动减慢。食物还没未嚼碎就进入胃肠,消化系统的负担随之加重,不仅影响营养成分的吸收,严重的还会出现消化系统疾病。
 

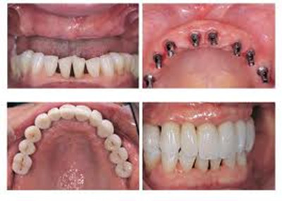
  目前贝臣齿科较早引进的种植术采用微创术,是种植牙领先的“微创”术,让种植牙有效告别疼痛,种植过程缩短到较快短时间。手术操作简单快捷,患者可以在舒适、微创、轻松的状态下完成手术过程。种植牙更坚固,更耐用,更安全。
 


 

  推荐——韩国 OSSTEM(奥齿泰)种植系统
 

  奥齿泰是种植体生产商,在韩国口腔种植行业占有较大份额。产品先后经过众多临床手术,得到了很好的检验。多样化的系列产品选择,根据不同的口腔环境和外科位置变化,方便植入、高成功率,达到更好的使用效果。
 

  韩国奥齿泰种植系统是将高档金属经过专业的电脑设计,制造成牙根型的圆柱体,经由手术植入牙床骨内,经过4到6个月后,当人工牙根与牙床骨密合后,再于人工牙根上制作假牙。种植效果好,相容性高不破坏自然牙,像真牙很接近的外观;具有一样的咀嚼和吞咽功能;与组织相容性好,它是活动假牙寿命的6-7倍。
 

温馨提示:
病情因人而异,以上信息仅供参考,请您一定到专业正规医院,接受医生的诊断与治疗。贝臣齿科提供网络咨询预约平台,可以向在线人员咨询您的情况。

在线咨询预约医生

在线咨询(免费咨询)在线近距离

点击右侧按钮查看其它视频
点击右侧按钮查看其它视频

24H免费咨询电话

贝臣节假日无休

福州贝臣齿科 — 专做口腔

福州贝臣齿科是卫生部门批准成立的专业口腔诊疗机构。在全国各大城市CBD商务核心区...[详细]

推荐医生

  • 阿诺德·马丁贝臣齿科(中

  • 穆素花贝臣世茂院技

  • 林劲松贝臣世茂院牙

  • 陈振林贝臣世茂院正

  • 阿诺德·马丁贝臣齿科(中

  • 穆素花贝臣世茂院技

  • 林劲松贝臣世茂院牙

  • 陈振林贝臣世茂院正

口腔热门项目推荐

  • 牙齿种植
  • 牙齿矫正
  • 牙齿修复
  • 牙齿美白
  • 无痛治疗
  • 儿童齿科

来院路线

来院路线
地址:福州世茂国际中心1号楼3层(地铁茶亭站D出口)