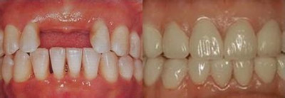
多颗种植牙哪种材料比较好
来源:贝臣齿科
2017-05-28 14:39
进入答疑区

  想要具体了解多颗种植牙哪种材料比较好 点击【在线咨询】直接问医生!方便!快捷种植牙被大家公认是牙齿缺失者的理想选择。牙齿缺失种植牙修复是选择的,也是接近于天然牙的选择。不过虽然都是种植牙,种植牙的材料的不同会影响种植牙的效果和使用寿命。那么,种植牙的材料有几种?种植牙的种类很多,多颗种植牙哪种材料比较好呢?直接与医院在线医师一对一通话,方便!快捷!了解详情就医指导。
 


 

  多颗牙齿种植哪种材料好?
 

  目前,常用的种植牙材料主要是钛,涂层也以钛或钛合金为基材。钛的理化性质以质轻、不锈和高强度加工性能好着称,其耐磨性好,耐腐蚀性好,主要是表面形成氧化膜,被氧化性常温下稳定,钛合金具有半导体性,弹性模量低,与骨相近,能产生共振,生物相容性好,无毒无副作用。
 


 

  种植牙使用钛的优势有哪些?
 

  一、良好的组织相容性:材料植入后与机体软、硬组织及体液接触时,具有良好的亲和关系。
 

  二、良好的耐消毒灭菌性能:种植体在植入前必须严格地施行消毒灭菌,因此要求所用的种植材料不会因高压、高温、各种消毒液体和气体的浸泡熏蒸等而发生变性,又不会滞存残量消毒物质,以保证种植手术的安全和成功。点这里,直接预约医生!方便快捷!
 

  三、良好的生物学性能:硬组织及体液接触时,材料的力学性能与骨组织相近,以避免种植体受力时在与骨组织的界面上形成过大应力集中。
 

  四、良好的机械性能:良好的加工性能才能满足形态设计的需要,咬合是牙的基本功能,种植体能够承载静态和动态咀嚼咬合力,不致在漫长的使用过程中发生折断、变形、磨损。

温馨提示:
病情因人而异,以上信息仅供参考,请您一定到专业正规医院,接受医生的诊断与治疗。贝臣齿科提供网络咨询预约平台,可以向在线人员咨询您的情况。

在线咨询预约医生

在线咨询(免费咨询)在线近距离

点击右侧按钮查看其它视频
点击右侧按钮查看其它视频

24H免费咨询电话

贝臣节假日无休

福州贝臣齿科 — 专做口腔

福州贝臣齿科是卫生部门批准成立的专业口腔诊疗机构。在全国各大城市CBD商务核心区...[详细]

推荐医生

  • 阿诺德·马丁贝臣齿科(中

  • 穆素花贝臣世茂院技

  • 林劲松贝臣世茂院牙

  • 陈振林贝臣世茂院正

  • 阿诺德·马丁贝臣齿科(中

  • 穆素花贝臣世茂院技

  • 林劲松贝臣世茂院牙

  • 陈振林贝臣世茂院正

口腔热门项目推荐

  • 牙齿种植
  • 牙齿矫正
  • 牙齿修复
  • 牙齿美白
  • 无痛治疗
  • 儿童齿科

来院路线

来院路线
地址:福州世茂国际中心1号楼3层(地铁茶亭站D出口)